Autores:
Amparo Ygual Fernández*,
Ana Sanjuán (*), Vicente Villanueva (**) y César Ávila (***)
Institución / Centro de trabajo:
* Departamento de Psicología Básica, Clínica y Psicobiología. Universitat Jaume I
** Servicio de Neurología. Hospital la Fe de Valencia
*** Comité multidisciplinar de Epilepsia, Hospital la Fe, Valencia
Correspondencia:
Ana Sanjuán Tomás
Departamento de Psicología Básica, Clínica y Psicobiología
Facultad de Ciencias Humanas y Sociales
Universitat Jaume I
Avda. Sos Baynat, s/n
E-12071 Castellón de la Plana
España (Spain)
E-mail:
asanjuan@psb.uji.es
Tel. +34 964 729696
Fax. +34 964 729267
La epilepsia del lóbulo temporal (ELT) es la causa más importante de epilepsia refractaria. Parece ser que la cirugía es una opción terapéutica para este tipo de pacientes, pero que puede resultar en una serie de alteraciones postquirúrgicas del lenguaje y la memoria.
La resonancia magnética funcional(RMf es una novedosa técnica de neuroimagen no invasiva y repetible que proporciona información relevante en la evaluación prequirúrgica de los pacientes con ELT mediante el mapeo de funciones cognitivas elocuentes ya que aporta datos que puede predecir la probabilidad de que el pacientes sufra un déficit cognitivo secundario a la intervención.
Los pacientes con ELT presentan alteraciones postquirúrgicas principalmente en funciones de memoria y lenguaje. Por tanto, nuestro protocolo recoge diversas tareas con el fin de evaluar dichas funciones cognitivas.
Lateralización de las funciones del lenguaje mediante RMf
Los estudios previos [1, 2] evidencian que en participantes sanos existe una distribución cerebral de alto predominio izquierdo de las funciones del lenguaje. Sin embargo, se ha demostrado que existe una gran incidencia de organización atípica del lenguaje en pacientes con ELT izquierdo con un patrón de dominancia hemisférica de menor predominio izquierdo [1,3, 4].
Las tareas utilizadas para evaluar el lenguaje son dos: la generación verbal (GV) y la fluidez fonética (FF). La tarea de generación verbal (GV) [5] consiste en la generación de un verbo asociado semánticamente a una palabra (por ejemplo, ante la palabra “galleta”, generar el verbo “comer”). La GV produce activaciones de predominio izquierdo en el giro frontal inferior y en el giro frontal medio. La tarea de Fluidez Verbal [6] consisten la generación mental de palabras que, o bien comiencen por una determinada letra (fluidez fonética: F, A, S,…) o bien pertenezcan a una determinada categoría semántica (fluidez semántica: animales, frutas,…). Esta tarea produce activaciones de predominio izquierdo en el giro frontal inferior, el giro frontal medio y activaciones en áreas frontales mesiales incluyendo el área motora suplementaria, así como el tálamo.
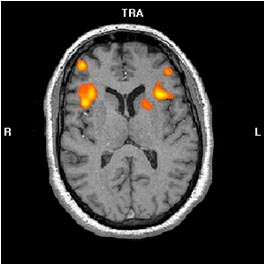
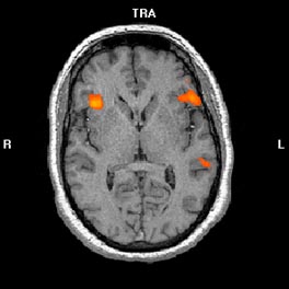
En nuestra experiencia clínica con pacientes con ELT izquierda encontramos resultados que concuerdan con la literatura previa, ya que existe una organización atípica del lenguaje en este tipo de pacientes donde se obtienen activaciones de menor dominancia izquierda (ver Figuras 1A Y 1B).
Activación cerebral bilateral durante la tarea de fluidez fonética (1A) y generación verbal (1B) en un paciente con ELT izquierda con una dominancia manual preferentemente diestra evaluada mediante el Edinburgh Handedness Inventory
| 1A.- Fluidez fonética |
1B.- Generación verbal |
 |
 |
Lateralización de las funciones de la memoria mediante RMf
En cuanto a la lateralización de las funciones de la memoria los estudios previos evidencian que en participantes sanos existe una distribución bilateral de la memoria [7, 8]. Los estudios mediante técnicas de RMf encuentran activaciones bilaterales en áreas temporales mesiales, incluyendo áreas parahipocampales y el hipocampo. En pacientes con ELT encontramos una organización atípica de la memoria, con una dominancia hemisférica preferentemente centrada en áreas contralesionales [7,8].
Nuestro grupo de trabajo ha elaborado un protocolo de evaluación de la memoria basado en dos tareas diferentes que, a diferencia de las de lenguaje, no generan siempre resultados concordantes [7]. La tarea de codificación de imágenes está basada en la tarea de Detre y cols [8]. La condición de activación consiste en la presentación de una serie de imágenes que el paciente debe intentar recordar. Los resultados muestran una activación bilateral en el caso de los controles en áreas temporales mesiales posteriores.
En la tarea de “Paseo por tu ciudad” basada en la tarea de Jokeit y cols. [9]) se obtienen 8 puntos estratégicos de la ciudad donde vive el participante separados por distancias que se puedan realizar a pie, información facilitada por el propio participante. El experimentador establece 6 recorridos entre ellos juntándolos al azar. Durante la condición de activación se instruye al participante para que se imagine cómo es el recorrido entre esos puntos informando de por dónde pasa, que sitios se encuentra, los posibles recuerdos autobiográficos vinculados a ellos, etc. Los resultados en participantes sanos muestran una distribución bilateral en el lóbulo temporal mesial, en concreto en el giro parahipocampal.
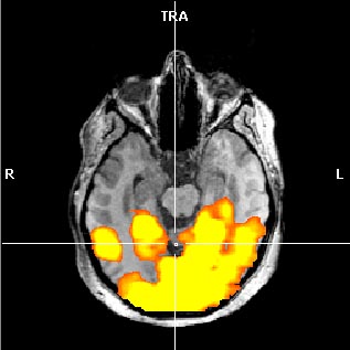
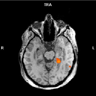
Lo resultados que hemos obtenido en pacientes con ELT concuerdan con la literatura previa, ya que existe una organización atípica de la memoria en este tipo de pacientes donde se obtienen activaciones con una distribución preferentemente contralesional (ver Figuras 2A y 2B).
Activación cerebral de predominio izquierdo durante la tarea de codificación de imágenes (2A) y “paseo por tu ciudad” (2B) en un paciente con ELT derecho.
| 2A.- Codificación de imágenes |
2B.- “Paseo por tu ciudad” |
 |
 |
Bibliografía
1. Springer JA, Binder JR and Hammeke TA. Language dominance in neurologically normal and epilepsy subjects: a functional MRI study, Brain. 1999. 122: 2033–2046
2. Pujol J, Deus J, Losilla JM y Capdevila A. Cerebral lateralization of language in normal left-handed people studied by functional MRI. Neurology. 1999. 52:1038–1043
3. Sabbah P, Chassoux F, Leveque C, Landre E, Baudoin-Chial S, Devaux B, Mann M, Godon-Hardy S, Nioche C, Aït-Ameur A, Sarrazin JL, Chodkiewicz JP,